Website được thiết kế tối ưu cho thành viên chính thức. Hãy Đăng nhập hoặc Đăng ký để truy cập đầy đủ nội dung và chức năng. Nội dung bạn cần không thấy trên website, có thể do bạn chưa đăng nhập. Nếu là thành viên của website, bạn cũng có thể yêu cầu trong nhóm Zalo "KSNK" các nội dung bạn quan tâm.

Xử trí suy hô hấp cấp tiến triển (ARDS) do cúm: Cuộc chiến giành giật sự sống

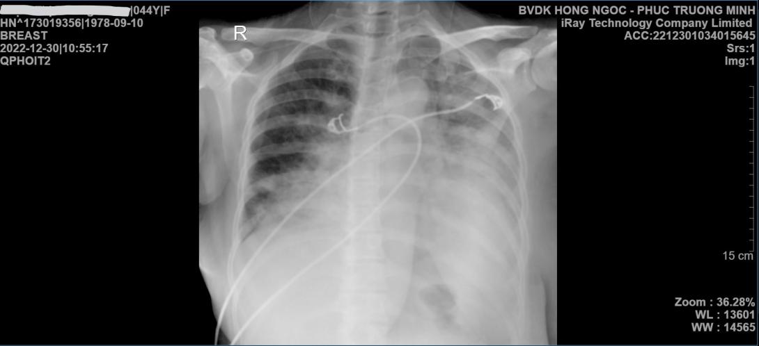
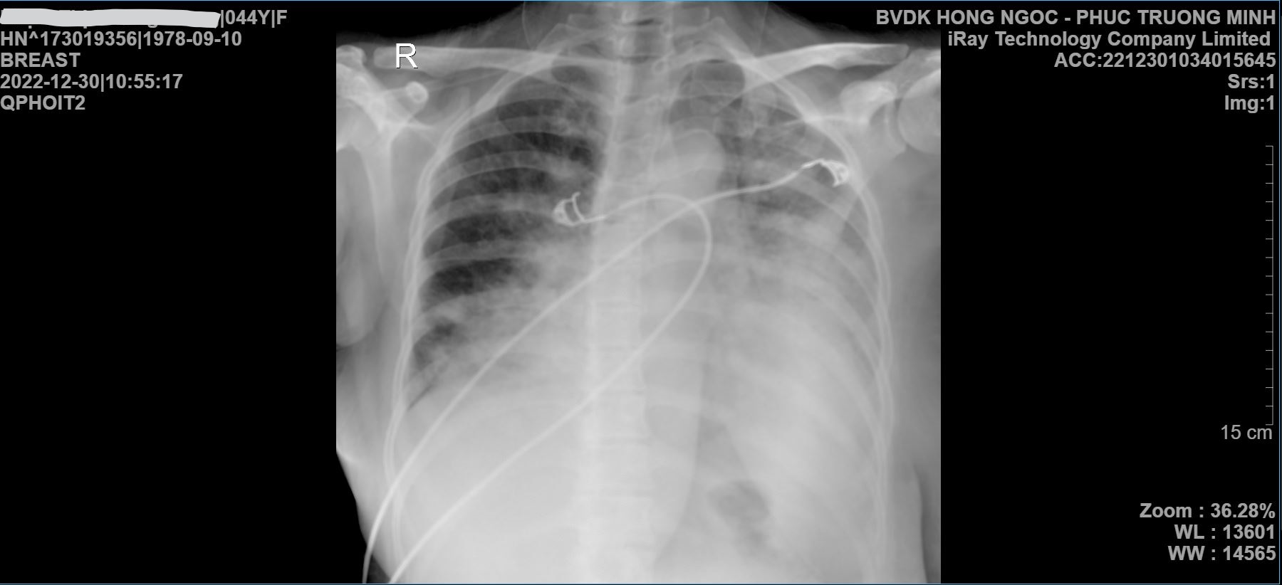
Hội chứng suy hô hấp cấp tiến triển (ARDS) là biến chứng nặng nhất của các chủng cúm nguy hiểm (như H5N1, H1N1). Tình trạng này khiến phổi bị tổn thương nặng nề, phù nề và không thể thực hiện chức năng trao đổi oxy, dẫn đến suy đa tạng nhanh chóng nếu không được xử trí bằng các kỹ thuật hồi sức chuyên sâu.

Các chiến lược điều trị cốt lõi

Quy trình cấp cứu ARDS do cúm đòi hỏi sự tuân thủ nghiêm ngặt phác đồ của Bộ Y tế và các tổ chức y khoa quốc tế:

  • Thông khí nhân tạo (Thở máy) chiến thuật bảo vệ phổi: Sử dụng thể tích lưu thông thấp để tránh gây áp lực quá mức lên nhu mô phổi đang bị tổn thương.

  • Huy động phế nang: Áp dụng các kỹ thuật như PEEP (áp lực dương cuối kỳ thở ra) liều cao hoặc Tư thế nằm sấp (Prone Positioning) để cải thiện sự phân bố oxy trong phổi.

  • Hỗ trợ cơ học ngoài cơ thể (ECMO): Trong các trường hợp thở máy không còn hiệu quả, hệ thống tim phổi nhân tạo (ECMO) sẽ được kích hoạt để thay thế chức năng phổi, giúp phổi có thời gian nghỉ ngơi và hồi phục.

Vai trò của các bộ phận trong kíp hồi sức

  • Hồi sức tích cực (ICU): Đội ngũ bác sĩ và điều dưỡng túc trực 24/7, theo dõi sát các thông số máy thở, khí máu động mạch và huyết động học của bệnh nhân.

  • Xét nghiệm & Vi sinh: Thực hiện nhanh các xét nghiệm định danh chủng virus cúm và theo dõi tình trạng nhiễm khuẩn thứ phát để điều chỉnh kháng sinh/kháng virus kịp thời.

  • Dược lâm sàng: Tư vấn sử dụng thuốc kháng virus, thuốc vận mạch và các thuốc giãn cơ, an thần hỗ trợ thở máy với liều lượng tối ưu.

  • Kiểm soát nhiễm khuẩn: Triển khai các biện pháp cách ly nghiêm ngặt để ngăn ngừa lây nhiễm chéo virus cúm ra các khu vực khác trong bệnh viện.

  • Dinh dưỡng: Cung cấp chế độ dinh dưỡng qua đường tĩnh mạch hoặc sonde dạ dày với năng lượng cao, giúp tăng sức đề kháng cho bệnh nhân trong giai đoạn nguy kịch.

Theo dõi và phục hồi sau giai đoạn cấp

Sau khi vượt qua giai đoạn nguy kịch, bệnh nhân cần sự hỗ trợ từ Phục hồi chức năng để tập cai máy thở, tập vận động hô hấp nhằm giảm thiểu di chứng xơ phổi và suy giảm sức bền sau này.

Việc làm chủ các kỹ thuật hồi sức chuyên sâu cho thấy năng lực Điều trị vượt trội, khẳng định vai trò là tuyến cuối trong việc cứu chữa các bệnh lý hô hấp phức tạp của bệnh viện.