Website được thiết kế tối ưu cho thành viên chính thức. Hãy Đăng nhập hoặc Đăng ký để truy cập đầy đủ nội dung và chức năng. Nội dung bạn cần không thấy trên website, có thể do bạn chưa đăng nhập. Nếu là thành viên của website, bạn cũng có thể yêu cầu trong nhóm Zalo "KSNK" các nội dung bạn quan tâm.

Hướng dẫn phòng ngừa thuyên tắc mạch phổi khi đi máy bay và nằm lâu

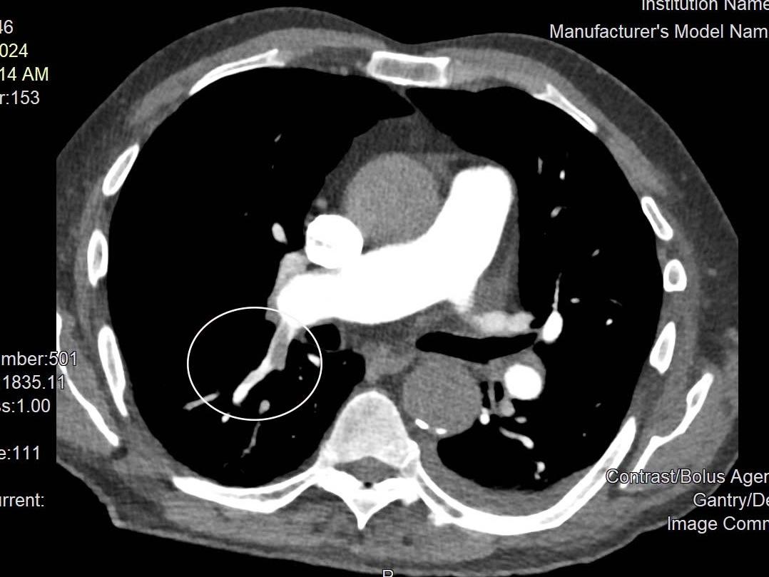
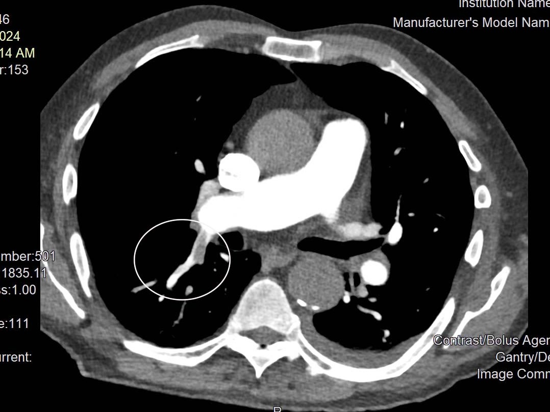
Thuyên tắc mạch phổi (Pulmonary Embolism - PE) là một biến cố y khoa cấp tính nguy hiểm, thường khởi nguồn từ tình trạng huyết khối tĩnh mạch sâu (DVT) ở chân. Việc bất động trong thời gian dài — dù là trên những chuyến bay đường dài hay do nằm viện điều trị — đều làm gia tăng đáng kể nguy cơ hình thành cục máu đông, dẫn đến những hệ lụy khó lường đối với tính mạng.

1. Cơ chế hình thành huyết khối khi bất động

Khi cơ thể không vận động, đặc biệt là đôi chân, "bơm cơ" (hệ thống cơ bắp quanh tĩnh mạch) không hoạt động để đẩy máu về tim. Máu ứ đọng tạo điều kiện cho các yếu tố đông máu kết tụ thành huyết khối.

  • Trên máy bay: Sự kết hợp giữa việc ngồi chật chội (hội chứng hạng ghế phổ thông), độ ẩm thấp gây mất máu và áp suất khí quyển thay đổi làm máu đậm đặc hơn.

  • Khi nằm lâu: Bệnh nhân sau phẫu thuật hoặc người già nằm giường bệnh lâu ngày có dòng máu chảy chậm, dễ hình thành cục máu đông tại các tĩnh mạch lớn ở vùng đùi và cẳng chân.

2. Đối tượng có nguy cơ cao

Cần đặc biệt lưu ý nếu bạn hoặc người thân thuộc nhóm đối tượng sau:

  • Người trên 60 tuổi hoặc người có tiền sử bị huyết khối tĩnh mạch.

  • Phụ nữ đang mang thai hoặc đang sử dụng thuốc tránh nội tiết tố.

  • Người vừa trải qua phẫu thuật (đặc biệt là phẫu thuật xương khớp, vùng chậu).

  • Người có bệnh lý nền như ung thư, suy tim hoặc béo phì.

  • Người có thói quen hút thuốc lá và lạm dụng rượu bia.

3. Quy trình phòng ngừa chủ động

Đối với người đi máy bay đường dài (trên 4 tiếng)

  • Vận động tại chỗ: Cách mỗi 30 - 60 phút, hãy thực hiện các động tác xoay cổ chân, co duỗi bàn chân và nâng đầu gối để kích hoạt lưu thông máu.

  • Di chuyển nhẹ nhàng: Nếu điều kiện cho phép, hãy đi lại dọc lối đi trên máy bay để giải phóng áp lực cho đôi chân.

  • Bù nước đầy đủ: Uống nhiều nước lọc, tránh dùng cà phê hoặc rượu bia vì chúng gây lợi tiểu và làm cơ thể mất nước, khiến máu dễ đông hơn.

  • Sử dụng tất áp lực (Compression Stockings): Loại tất này giúp tạo áp lực cơ học lên tĩnh mạch, hỗ trợ đẩy máu về tim hiệu quả hơn.

Đối với bệnh nhân phải nằm lâu tại giường

  • Tập vật lý trị liệu: Thực hiện các bài tập thụ động hoặc chủ động tại giường theo hướng dẫn của nhân viên y tế.

  • Kê cao chân: Giữ chân cao hơn mức tim khoảng 15°C để hỗ trợ tuần hoàn tĩnh mạch trở về.

  • Sử dụng thiết bị nén ép hơi ngắt quãng (IPC): Đây là thiết bị y tế quấn quanh chân, tự động bơm căng và xả hơi để mô phỏng hoạt động của cơ khi đi bộ.

  • Sử dụng thuốc kháng đông dự phòng: Theo chỉ định của bác sĩ đối với các trường hợp nguy cơ rất cao sau phẫu thuật.

4. Nhận diện dấu hiệu cảnh báo nguy kịch

Thuyên tắc mạch phổi thường diễn tiến âm thầm cho đến khi cục máu đông di chuyển lên phổi gây tắc nghẽn. Hãy gọi cấp cứu ngay nếu xuất hiện:

  1. Tại chân: Sưng, đau, nóng đỏ hoặc tím tái một bên chân (dấu hiệu của huyết khối tĩnh mạch sâu).

  2. Tại phổi: Khó thở đột ngột, đau ngực dữ dội (tăng lên khi hít sâu), ho ra máu hoặc nhịp tim đập rất nhanh.


Lời khuyên từ chuyên gia: Đừng chủ quan với những chuyến đi xa hay những ngày nghỉ ngơi trên giường bệnh. Chỉ cần một vài động tác vận động đơn giản mỗi giờ có thể là yếu tố quyết định giúp bạn tránh xa hiểm họa thuyên tắc phổi.