Website được thiết kế tối ưu cho thành viên chính thức. Hãy Đăng nhập hoặc Đăng ký để truy cập đầy đủ nội dung và chức năng. Nội dung bạn cần không thấy trên website, có thể do bạn chưa đăng nhập. Nếu là thành viên của website, bạn cũng có thể yêu cầu trong nhóm Zalo "KSNK" các nội dung bạn quan tâm.

Can thiệp nội mạch: Giải pháp "vàng" điều trị phình động mạch não không cần mổ mở

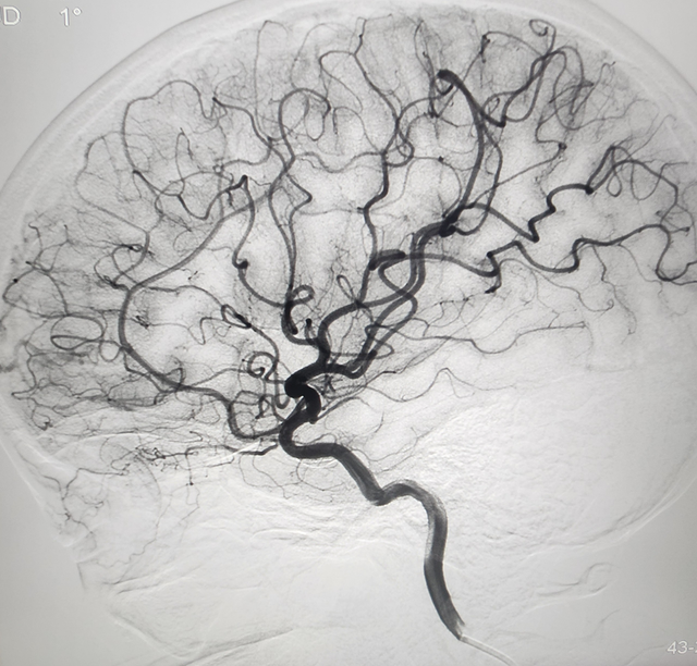
Phình động mạch não là tình trạng một đoạn mạch máu bị yếu và phồng lên như một túi nhỏ chứa máu. Nếu túi phình này vỡ ra, nó gây xuất huyết não, đe dọa trực tiếp đến tính mạng. Kỹ thuật Can thiệp nội mạch (Endovascular Coiling) đã tạo nên cuộc cách mạng, giúp xử lý khối phồng từ bên trong lòng mạch mà không cần thực hiện các cuộc phẫu thuật mở hộp sọ phức tạp.

1. Cơ chế của kỹ thuật Can thiệp nội mạch

Thay vì mổ hở, các bác sĩ sử dụng các ống dẫn siêu nhỏ (catheter) để tiếp cận vị trí tổn thương:

  • Lối vào từ động mạch đùi: Bác sĩ luồn ống thông từ động mạch đùi ở vùng bẹn, đi ngược lên theo hệ thống mạch máu để đến não bộ dưới hướng dẫn của máy chụp mạch số hóa xóa nền (DSA).

  • Nút túi phình bằng vòng xoắn kim loại (Coiling): Khi đã tiếp cận được túi phình, các vòng xoắn kim loại siêu nhỏ bằng Platinum (Coil) được đưa vào bên trong túi phình để lấp đầy nó.

  • Ngăn chặn dòng máu: Các vòng xoắn này kích thích hình thành cục máu đông, bít kín túi phình, ngăn không cho máu chảy vào đó nữa, từ đó loại bỏ hoàn toàn nguy cơ vỡ mạch máu.

2. Ưu điểm vượt trội của phương pháp

  • Xâm lấn tối thiểu: Không cần mở hộp sọ, bệnh nhân chỉ có một vết châm kim nhỏ ở vùng bẹn.

  • Độ an toàn cao: Giảm thiểu tối đa các tổn thương trực tiếp vào nhu mô não và các dây thần kinh sọ não.

  • Hồi phục nhanh chóng: Thời gian nằm viện ngắn (thường chỉ 2-3 ngày), người bệnh sớm quay lại sinh hoạt bình thường.

  • Tiếp cận các vị trí khó: Có thể xử lý các túi phình ở những vị trí nằm sâu trong não mà phẫu thuật mổ mở rất khó tiếp cận hoặc tiềm ẩn nhiều rủi ro.

3. Quy trình phối hợp đa chuyên khoa (Stroke Team)

Thành công của một ca can thiệp là sự phối hợp của đội ngũ "Đột quỵ":

  • Can thiệp điện quang / Thần kinh: Các chuyên gia thực hiện kỹ thuật luồn ống thông và đặt Coil với độ chính xác tuyệt đối.

  • Gây mê hồi sức: Đảm bảo bệnh nhân nằm yên hoàn toàn trong suốt quá trình can thiệp (thường kéo dài 60-120 phút) để hình ảnh chụp mạch được rõ nét nhất.

  • Chẩn đoán hình ảnh: Sử dụng hệ thống DSA hiện đại nhất để dựng hình 3D cây mạch máu não, giúp bác sĩ chọn đúng kích thước Coil.

  • Điều dưỡng: Theo dõi sát mạch đập, cảm giác vùng chân sau can thiệp và hướng dẫn bệnh nhân nằm bất động chân trong những giờ đầu sau mổ.

4. Ứng dụng các công nghệ hỗ trợ hiện đại

Bên cạnh đặt Coil đơn thuần, bệnh viện còn triển khai các kỹ thuật bổ trợ cho các túi phình cổ rộng hoặc phức tạp:

  • Đặt Stent đổi hướng dòng chảy (Flow Diverter): Giúp hướng dòng máu đi theo trục mạch chính, dần dần làm xẹp túi phình.

  • Can thiệp hỗ trợ bóng (Balloon-assisted coiling): Sử dụng bóng nhỏ để giữ các vòng xoắn không bị rơi ra ngoài lòng mạch chính trong quá trình đặt.

Việc làm chủ kỹ thuật can thiệp nội mạch điều trị phình động mạch não không chỉ thể hiện trình độ chuyên môn bậc cao mà còn là nỗ lực của bệnh viện trong việc ứng dụng Nghiên cứu khoa học để nâng cao chất lượng Điều trị cho bệnh nhân đột quỵ.